产品信息:
参考资料:
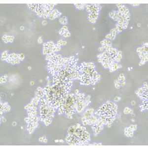
细胞样品分型结果:
细胞STR检测图谱:
参考文献:
【1】Park IC, Park MJ, Lee SH, Choe TB, Jang JJ, Hong SI. Increased susceptibility of the c-Myc overexpressing cell line, SNU-16, to TNF-alpha. Cancer Lett. 1998 Mar 13;125(1-2):17-23. doi: 10.1016/s0304-3835(97)00450-3. PMID: 9566690.
【2】Yoo YD, Choi JY, Lee SJ, Kim JS, Min BR, Lee YI, Kang YK. TGF-beta-induced cell-cycle arrest through the p21(WAF1/CIP1)-G1 cyclin/Cdks-p130 pathway in gastric-carcinoma cells. Int J Cancer. 1999 Nov 12;83(4):512-7. doi: 10.1002/(sici)1097-0215(19991112)83:4<512::aid-ijc13>3.0.co;2-z. PMID: 10508488.
【3】Kim DJ, Chung JH, Ryu YS, Rhim JH, Kim CW, Suh Y, Chung HK. Production and characterisation of a recombinant scFv reactive with human gastrointestinal carcinomas. Br J Cancer. 2002 Aug 12;87(4):405-13. doi: 10.1038/sj.bjc.6600365. PMID: 12177777; PMCID: PMC2376138.