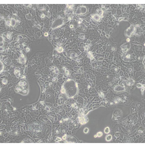
Caco-2(人结直肠腺癌细胞)
产品信息:
参考资料:
细胞样品分型结果:
细胞STR检测图谱:
参考文献:
【1】Rousset M, Chevalier G, Rousset JP, Dussaulx E, Zweibaum A. Presence and cell growth-related variations of glycogen in human colorectal adenocarcinoma cell lines in culture. Cancer Res. 1979 Feb;39(2 Pt 1):531-4. PMID: 761227.
【2】Laburthe M, Rousset M, Chevalier G, Boissard C, Dupont C, Zweibaum A, Rosselin G. Vasoactive intestinal peptide control of cyclic adenosine 3':5'-monophosphate levels in seven human colorectal adenocarcinoma cell lines in culture. Cancer Res. 1980 Jul;40(7):2529-33. PMID: 6248206.
【3】Grasset E, Pinto M, Dussaulx E, Zweibaum A, Desjeux JF. Epithelial properties of human colonic carcinoma cell line Caco-2: electrical parameters. Am J Physiol. 1984 Sep;247(3 Pt 1):C260-7. doi: 10.1152/ajpcell.1984.247.3.C260. PMID: 6476109.